Broken Tooth Pain: What to Do Now & How to Fix It

Navigating the Discomfort: Your Guide to Managing a Broken Tooth
Few dental emergencies are as unmistakable and distressing as the sharp, sudden onset of a broken tooth. That unmistakable twinge when biting down, or the persistent, dull ache that seems to radiate through your jaw, signals that something is wrong. At Ava Dental of Round Lake, we understand that broken tooth pain is more than just a physical sensation—it’s a source of anxiety and disruption. This comprehensive guide is designed to help you understand why this pain occurs, what steps to take immediately, and how modern dentistry can provide swift, effective relief, restoring both your comfort and your smile.
Understanding the Root of Your Discomfort: Why a Broken Tooth Hurts
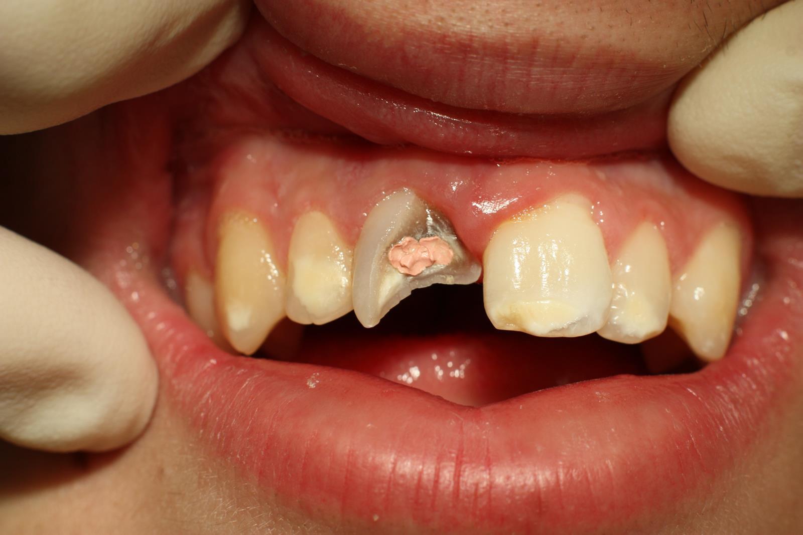
A tooth is not just a solid block of enamel. It is a complex, living structure. The hard, outer enamel shell protects the softer, more sensitive inner layer called dentin. At the very core lies the pulp, a soft tissue housing nerves and blood vessels. When a tooth fractures, even a seemingly small crack can expose the dentin or pulp to the elements.
The intense broken tooth pain you experience is your body’s alarm system. Exposure to hot, cold, sweet, or even air can trigger sharp, shooting sensations. Pressure from chewing can aggravate the fracture, leading to a deep, throbbing ache. This pain is a clear signal that the inner layers of your tooth are vulnerable and potentially infected, requiring professional attention.
Immediate Steps to Take Before You Reach Our Office
A dental fracture can happen at any time. Knowing how to manage the situation before your appointment can minimize damage and ease your discomfort.
First, gently rinse your mouth with warm salt water. This cleanses the area and reduces bacteria. If there is swelling, apply a cold compress to the outside of your cheek in 15-minute intervals. To protect your tongue and cheek from sharp edges, you can use a temporary solution like dental wax (available at most pharmacies) to cover the fractured area.
It is crucial to avoid chewing on the side of the affected tooth. Stick to soft foods and try to keep the area as clean as possible. Over-the-counter pain relievers can be used as directed for temporary relief, but they are not a cure. These measures are first aid, not a substitute for the professional care needed to resolve the underlying problem.
Professional Solutions for Lasting Relief and Repair
At Ava Dental of Round Lake, we prioritize emergency cases to address your pain quickly. The treatment for your broken tooth depends on the severity and location of the fracture. Our goal is always to preserve your natural tooth structure whenever possible.
For minor fractures that affect only the enamel, a dental filling or bonding procedure may be sufficient. This simple restoration seals the area, protects the dentin, and restores the tooth’s shape. If the crack is more significant and has reached the dentin, a dental crown is often the recommended solution. A crown acts as a protective cap, covering the entire visible portion of the tooth above the gum line. It strengthens the tooth, prevents further cracking, and seals out bacteria, which is the key to ending persistent broken tooth pain.
When the Damage Reaches the Pulp: Understanding Root Canal Therapy
In cases where the fracture has extended into the tooth’s pulp chamber, you will likely experience severe and constant pain. This indicates that the nerves and blood vessels are inflamed or infected. In the past, such a tooth might have needed extraction. Today, root canal therapy allows us to save it.
This procedure involves removing the damaged pulp, carefully cleaning and disinfecting the inner chambers of the tooth, and then sealing them. Contrary to popular myth, a root canal is performed to *eliminate* pain, not cause it. Following the procedure, the tooth is restored with a crown for protection. This combination treatment is highly successful at relieving broken tooth pain and preserving your natural smile for years to come.
Don’t Endure the Ache: Let Us Provide the Care You Need
Ignoring a broken tooth is a risk to your oral and overall health. What begins as a manageable crack can worsen, leading to severe infection, abscess, and ultimately, tooth loss. The discomfort you feel is a clear message from your body that requires a professional response.
Our team is experienced in treating dental fractures with efficiency and compassion. We utilize modern technology and techniques to diagnose the extent of the damage accurately and discuss all your treatment options. You don’t have to navigate this painful situation alone.
If you are experiencing the distress of a broken tooth, prompt action is the best course. For more information or to schedule an urgent appointment, please visit our website at avondentalroundlake.com or call us directly at 847.740.4600. Let Ava Dental of Round Lake be your partner in restoring comfort, health, and confidence to your smile.
$500 Off
Offering Braces in Traditional, Clear, or Invisalign Orthodontic
A free full orthodontic consultation is required to see which straightening option will work best for you.
Looking For The Right Braces?
Getting the Right Braces Colors Starts Here
</h2>Broken Tooth Extraction</h2>
<p>When you're facing a dental emergency like a broken tooth, quick and effective action is essential. If you have braces or dental implants, sudden tooth extraction can be scary. This article will explain what to do, find a weekend dentist, and keep your mouth healthy.</p>
<h3>Understanding Broken Tooth Extraction</h3>
<p>Removing a damaged or broken tooth to stop pain and problems. The procedure is quick and usually performed by an experienced dentist.</p>
<p>If you experience a broken tooth, it's crucial to seek emergency dental care promptly. If you don't fix a broken tooth, it can cause infections, and strong pain, and may need complicated dental work like implants later.</p>
<p>But what exactly happens during a broken tooth extraction? Let's break it down in simple terms:</p>
<h4>1: Evaluation</h4>
<p>At the dentist appointment, the dentist will check the tooth to determine if it affects the roots or nearby teeth. This may involve taking X-rays to get a better view of the tooth and its positioning in the mouth.<\p>
<p>This may involve removing the tooth. It may also involve doing a root canal or other needed treatments.
The goal is to fix the problem and avoid more issues. The dentist needs to carefully check the situation to decide the best way to fix the patient's oral health.<\p>
<h4>2: Local Anesthesia</h4>
<p>Before the actual extraction, you'll receive local anesthesia to numb the area. This ensures that you won't feel any pain during the procedure. For kids seeking emergency dental extraction, this step is especially important to keep them comfortable.</p>
<h4>3: Tooth Extraction</h4>
<p>With the area numbed, the dentist will proceed to extract the broken tooth. They may need to use special instruments, depending on the tooth's condition.<p>
<h4>4: Post-Extraction Care</h4>
<p>After successfully removing the broken tooth, the dentist will give you instructions for post-extraction care. This may include guidelines on eating, drinking, and keeping the extraction site clean to prevent infection.</p>
<p>Now that you understand the basics of a broken tooth extraction, let's explore some essential aspects you should know:</p>
<h3 id="title-7">Importance of Prompt Action</h3>
<p>Seeking immediate emergency dental extraction can prevent further complications and alleviate pain. If you have braces, clear braces, or dental implants, dealing with the issue quickly helps your orthodontic treatment stay on course.</p>
<p>If you're wondering, 'Can I find nearby dental implants for emergencies' the answer is probably yes. Many dental offices offer emergency dental care, so finding a suitable provider shouldn't be a challenge.</p>
<h3 id="title-8">The Role of Braces and Dental Implants</h3>
<p>If you have braces or dental implants, a broken tooth can be a concern for your treatment. Let's delve into each scenario:</p>
<h4 id="title-9">Braces (Ceramic and Transparent)</h4>
<p>For individuals with ceramic or transparent braces, a broken tooth can be distressing. The brackets and wires are delicate, and a damaged tooth can interfere with the treatment's progress.</p>
<p>If you experience a broken tooth while wearing ceramic or transparent braces, follow these steps:</p>
<ul>
<li>Instantly contact your orthodontist or a weekend dentist who specializes in emergency dental care.</li>
<li>Do not attempt to fix the broken tooth or braces yourself, as this can lead to further damage.</li>
<li>Until you can see a dentist, be cautious with your diet, avoiding hard or sticky foods that may worsen the situation.</li>
Convierte esta noche en un espectáculo de victoria jugando en https://amunracasinos.es. Aquí te esperan recompensas exclusivas y ventajas premium, mientras el prestigio de la sala acompaña tu estrategia y tú persigue el gran premio con cabeza fría. Ahora es tu momento, juega con confianza y domina la mesa.
</ul>
<h4 id="title-10">Dental Implants</h4>
<p>Here's what to do if you have dental implants and experience a broken tooth:</p>
<ul>
<li>Contact an emergency dental office or a dentist experienced in handling dental implants immediately.</li>
<li>Avoid putting pressure on the broken tooth or the implant area to prevent further damage.</li>
<li>Follow any post-extraction care instructions diligently to ensure the implant's success.</li>
</ul>
<p>Your dentist will assess the damage and determine the best course of action. In some cases, they may need to remove the broken tooth and plan for a replacement, such as mini dental implants.</p>
<h3 id="title-11">Cost Considerations</h3>
<p>Untreated dental issues can escalate, requiring more extensive and costly procedures.</p>
<p>If you're concerned about money, talk to your dentist about payment and insurance options. Many dental offices offer flexible payment plans to make emergency dental care more accessible.</p>
<h3 id="title-12">Finding a Weekend Dentist</h3>
<p>Dental emergencies can strike at any time, including weekends and holidays. So, how can you find a weekend dentist when you need one?</p>
<p>Here are some tips:</p>
<ul>
<li>Check online directories or websites of dental offices near you. Look for those that mention offering weekend appointments or emergency services.</li>
<li>Consider searching for "kids emergency dentist" if you have children who may require specialized care during emergencies.</li>
</ul>
<p>It's smart to have the number of an emergency dentist in your phone for urgent situations. This preparation can save you valuable time and reduce stress during a dental emergency.</p>
<h3 id="title-13">Conclusion</h3>
<p>But with the right knowledge and prompt action, you can navigate it effectively. Whether you have braces, clear braces, dental implants, or need a kids' dentist in an emergency, getting help fast is vital.</p>
<p>Remember to reach out to a weekend dentist or emergency dental office as soon as you face a broken tooth. Timely treatment can prevent complications, maintain your orthodontic progress, and safeguard your oral health.</p>
<p>Discuss payment options with your dentist and prioritize your well-being. Your smile is worth the investment.</p>

